УЗИ предстательной железы
Записаться
УЗИ предстательной железы дает возможность выявления, как серьезных изменений органа, так и незначительной патологии. Основными преимуществами УЗИ являются:
- отсутствие болезненных ощущений у пациента во время проведения процедуры;
- полная безопасность для его здоровья, даже если диагностика проводится несколько раз;
- высокий уровень информативности, которую предоставляет этот метод медицинским работникам.
.jpg)
Предстательная железа расположена возле прямой кишки в области мочевого пузыря. Простата играет важную роль в репродуктивной системе мужского организма. В этом органе вырабатывается специальный секрет, входящий в состав спермы. При нарушении функции простаты изменяется биохимический состав семенной жидкости. В частности происходят изменения в таком важном параметре спермы, как вязкость. От того какую вязкость имеет семенная жидкость зависит подвижность сперматозоидов, и соответственно способность мужчины к оплодотворению.
Ультразвуковое исследование органа позволяет определить
- общее состояние железы;
- какая форма у этого органа, и насколько увеличен его объем;
- наличие или отсутствие гиперплазии, то есть интенсивного клеточного деления;
- присутствие микролитов, так называемого песка или каких-либо других образований;
- форму семенных пузырьков и то, какой они имеют размер;
- при исследовании, проводимом через брюшную полость, размеры мочевого пузыря;
- в каком состоянии находятся почки и мочевыводящие пути в целом.
Показания к УЗИ предстательной железы
Показанием к проведению ультразвуковой диагностики служат такие симптомы как:
- увеличение размеров простаты;
- наличие выделений и боль при мочеиспускании;
- частые позывы к мочеиспусканию (чаще, чем раз в два часа) в ночное и в дневное время;
- боли, отдающиеся в ноги и в район промежности;
- показания анализов мочи и крови;
- симптоматика характерная для почечной недостаточности обеих фаз, как острой, так и хронической.
Способы проведения ультразвукового исследования
Трансабдоминально
Обследование простаты с помощью ультразвука можно проводить через брюшную полость, то есть трансобдоминально. Обследование проводится утром. Перед процедурой пациент ничего не ест. Примерно за полтора часа перед обследованием пациент выпивает около двух литров воды.
Проведение процедуры таким способом позволяет врачам:
- определить, остается ли моча в мочевом пузыре, что является характерным при простатите;
- дать визуальную оценку о размерах и структуре органа;
- определить, нет ли развития патологии простаты или близлежащих органов в ее начальной стадии;
- выявить злокачественные и доброкачественные образования размеры, которых составляют более одного сантиметра.
Специалисты наших медицинских центров проводят УЗИ предстательной железы таким способом, если:
- пациент жалуется на учащенное мочеиспускание и ощущение его неполного опорожнения;
- есть другие симптомы характерные для простатита;
- при тактильном исследовании выявлено увеличение органа;
- анализ крови показывает повышенный уровень содержания в ней ПСА (простатический специфический антиген).
Трансректально
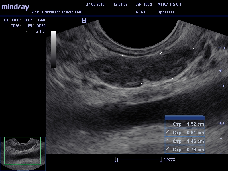
Другой способ диагностики органа проводится трансректально, то есть через анальное отверстие. В прямую кишку вводится специальный прибор, позволяющий зафиксировать наличие изменений в органе.
Показанием к проведению этого вида ультразвуковой диагностики могут быть следующее:
- наличие каких-либо воспалительных процессов в органе;
- данные, полученные в результате проведенного анализа мочи или крови;
- выявленные отклонения в анализе спермы;
- любые дизурические расстройства;
- симптоматика почечной недостаточности.
Также этот вид диагностики проводят, если требуется уточнение показаний, которые были получены в результате УЗИ, ранее проведенного через брюшную полость.
Этот способ диагностики имеет сокращенное название ТРУЗИ. Прибор, который вводится через анальное отверстие в прямую кишку, является ультразвуковым датчиком. Этот прибор очень чувствительный и благодаря ему врач, который проводит исследование, может видеть в органе малейшие отклонения от нормы, не видимые при трансабдоминальном способе исследования. При проведении исследования этим способом простату от датчика отделяет только стенка прямой кишки.
Диагностируемые заболевания
- наличие воспалительного процесса или какие-либо изменения в семенных пузырьках;
- воспаление простаты (простатит), имеющее острую или хроническую форму;
- аденома простаты;
- осложнения, вызванные после перенесенного простатита, имевшего острую форму;
- рак простаты.
Подготовительные процедуры, которые необходимо сделать перед УЗИ простаты
В случае, если исследование проводится через брюшную полость, мочевой пузырь должен быть наполнен. В связи с этим примерно за полтора часа до процедуры пациент должен выпить не менее полтора литра воды.
Если проводится исследование трансректальным методом, то перед процедурой пациенту ставят клизму для того, чтобы очистить прямую кишку. В том случае, если врачу потребуется определить, сколько у пациента остается мочи после опорожнения мочевого пузыря, перед этой процедурой также следует выпить воду.
Преимущества УЗИ предстательной железы в наших медицинских центрах
Мы предлагаем доступную цену за проведение УЗИ простаты. В наших медицинских центрах «DoktorRu.Ru» обследование пациентов проходит в комфортной обстановке, с соблюдением всех процедур по подготовке пациента к процедуре.
При проведении диагностики простаты мы определяем, какую форму и структуру имеет орган, и какой у него размер. Определение всех этих параметров входит в единую стоимость диагностики. Ультразвуковой современный и высокотехнологичный датчик выводит данные на экран, на котором видна реальная картина, исследуемого органа.
Стоимость диагностики
Вы можете пройти УЗИ простаты по доступным ценам в наших медицинских центрах, которые удобно расположены в Москве возле станций метро Динамо (Ходынское поле), м. Варшавская, м. Полежаевская, м. Юго-Западная (Ново-Переделкино), м. Проспект Вернадского (Солнцево).
|
Процедура |
Стоимость |
|
УЗИ предстательной железы |
1 400 руб. |
|
УЗИ предстательной железы с определением остаточной мочи |
1 500 руб. |
Для записи на приём просто позвоните по телефонам, указанным в разделе контактной информации, или запишитесь через форму он-лайн заявки на сайте.



